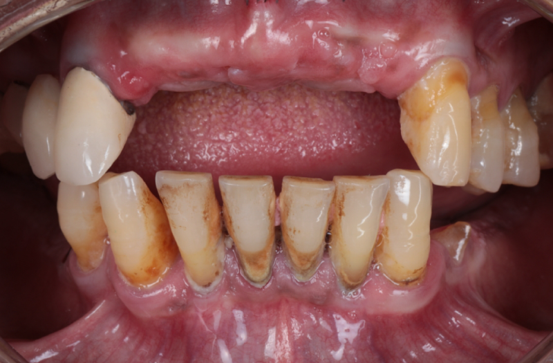
قد تفقد سِنًّا واحدًا أو أكثر لأسباب متنوعة، ولكن يعتبر فقدان الأسنان مشكلة خطيرة، لذا يمكنك حل هذه المشكلة عن طريق اللجوء إلى تركيب الأسنان لتعويض الأسنان المفقودة أو التالفة.
تركيب الأسنان هي إجراءات علاجية وتجميلية تهدف إلى إصلاح ضرر في الأسنان أو ترميمها أو تعويضها، فإن هذه الإجراءات تستعيد الخصائص الجمالية للأسنان ويتم ضمان استقرار هذه الأسنان. كما يعتبر تركيب الأسنان هي أكثر المصطلحات شمولاً والتي تشمل تركيب الأسنان الثابتة والمتحركة بالإضافة إلى زرعها ويكمن الاختلاف الجذري بين تركيب الأسنان أو زراعتها (سواءً كانت ثابتة أو متحركة) في أسلوب تثبيت التركيبة الجديدة، فِي وقتنا الحاضر أصبح تركيب الأسنان من الممارسات الاعتيادية السهلة في عيادات الأسنان، مثلها مثل الحشو أو التنظيف.
يتم استخدام تركيب الأسنان في إحدى الحالات التالية.
الأسنان المكسورة والمتشققة.
تآكل الأسنان والتسوس الشديد.
ظهور تصبغان شديدة على الأسنان.
فقدان واحد أو أكثر من الأسنان الأمامية.
هناك عدة عوامل يجب توافرها قبل اللجوء إلى استخدام تركيبات الأسنان وهي كالآتي.
يجب أن يتمتع المريض بصحة عامة جيدة.
يجب أن يكون لدى المريض لثة صحية وعظام كافية.
1. التركيبات الثابتة
توضع بشكل دائم في الفم بهدف استبدال الأسنان بشكل مريح ولأطول فترة ممكنة من قبل طبيب الأسنان، نظرًا لأن اسمه “ثابت”، فإنه يشير تِلْقَائِيًّا إلي أنه لا يمكن إزالته بعد التثبيت. بدلاً من ذلك، إذا كنت بحاجة إلى إزالتها، فعليك طلب المساعدة من طبيب الأسنان.
وهي مصنوعة من مواد تشبه شكل أسنانك الطبيعية وهي بنفس حجم أسنانك الطبيعية المفقودة.
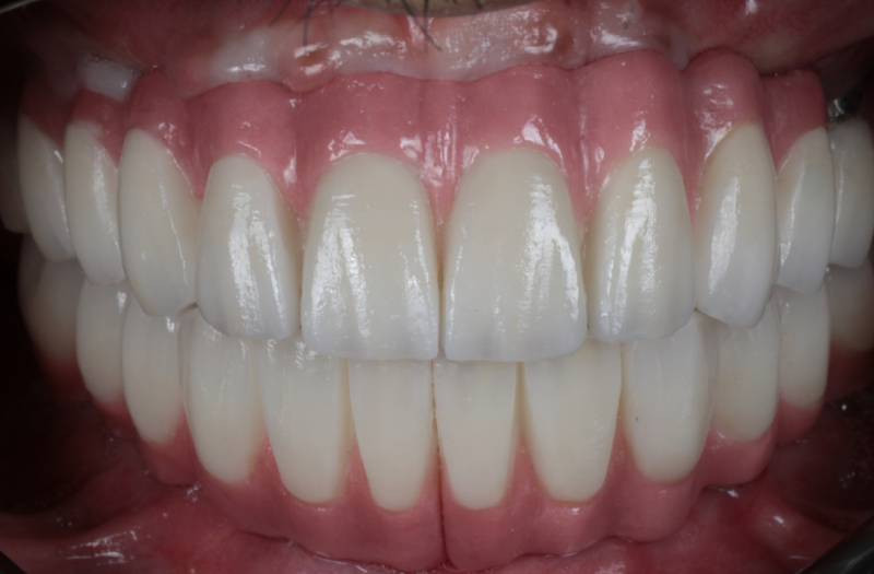
يوصي الأطباء بتركيب دعامة أسنان ثابتة بدلاً من الأسنان المفقودة للحصول على أسنان تحاكي شكل وبياض السن.
هي تلبيس أو تغليف للسن المتضرر بهدف ترميمه وضمان بقائه لفترة أطول.
يتم استخدام الجسر الثابت للتعويض عن فقدان ضرس أو أكثر باستخدام مادة طبية خاصة للصق الجسر وتثبيته في مكانه في عظم الفك، ويتم ذلك بمساعدة السن القريب من الخلع حيث يبرد ويتقلص ويتطلب أن يكون قوياً ليقاوم الضغط الذي سيقع عليه.
تحسين ابتسامتك وملامح وجهك.
يساعد المرضى على استعادة الثقة واستعادة الشعور بالراحة والاستقرار.
يحمي الأسنان الطبيعية المتبقية.
يحسن قدرة المريض على مضغ الطعام.
إن تركيب الأسنان يشغل أذهان الكثير ممن يبحثون عنه، فذلك لقد قمنا في هذا المقال بسرد كافة المعلومات عن تركيب الأسنان وكل ما يتعلق بتركيب الأسنان.
ابتسامة مراجعينا غايتنا وهدفنا، بعض الحالات قبل وبعد رسمناها لمراجعينا






2022©مركز دايموند لطب الأسنان.